ISSN 2410-5708 / e-ISSN 2313-7215
Year 12 | No. 33 | February - May 2023
© Copyright (2023). National Autonomous University of Nicaragua, Managua.
This document is under a Creative Commons
Attribution-NonCommercial-NoDerivs 4.0 International licence.
Acinetobacter baumannii is multiresistant to carbapenems at the hospital level.
https://doi.org/10.5377/rtu.v12i33.15895
Submitted on May 4th, 2021 / Accepted on January 11th, 2023
PhD. Oscar Arbizú Medina
Cisneros in memoriam"
Polytechnic Institute of Health
National Autonomous University of
Nicaragua, UNAN-Managua, Nicaragua.
MSc. Francisco Romero Oviedo
National Autonomous University of
Nicaragua, UNAN-Managua, Nicaragua.
B.A. Kenia García Rosales
National Autonomous University of
Nicaragua, UNAN-Managua, Nicaragua.
B.A . Abraham Enoc Molina Morales
National Autonomous University of
Nicaragua, UNAN-Managua, Nicaragua.
B.A. Francisco Antonio García Herrera
National Autonomous University of
Nicaragua, UNAN-Managua, Nicaragua.
National Autonomous University of
B.A . Braulio Renato Centeno Rizo
National Autonomous University of
Nicaragua, UNAN-Managua, Nicaragua.
B.A. Yader Lanzas Baca
National Autonomous University of
Nicaragua, UNAN-Managua, Nicaragua.
PhD. Abraham Salinas
National Autonomous University of
Nicaragua, UNAN-Managua, Nicaragua.
PhD. Erick Amaya
National Autonomous University of
Nicaragua, UNAN-Managua, Nicaragua.
Section: Health and Social services
Scientific research article
Keywords: Acinetobacter baumannii, Carbapenems, Genes, plasmids, Anti-infectives.
Abstract.
It was conducted a cross-sectional descriptive study to genetically characterize Acinetobacter baumannii, a producer of carbapenemases, was studied, 16 strains resistant to carbapenems were isolated from patients hospitalized in a German- Nicaraguan public hospital. The identification of the genus, and species and the susceptibility test to antimicrobials were carried out using the VITEK2 compact system. The synergy test was performed with ethylenediaminetetraacetic acid (10μg or 0.1 uM), from the 0.5 Mc Farland scale using Kirby Bauer. The genotypic characteristic, multiplex PCR was performed for bla OXA23, bla OXA40, bla OXA51, and bla OXA58, also for genes class B, bla IMP, bla VIM, bla GIM, blaSIM, bla SPM and performed a PCR for blaNDM. As a result of the study, the diversity of genes was demonstrated, 100% of the strains carried OXA51, 87.5% carried OXA40 genes, combined with OXA51, 13% presented a combination of NDM genes with OXA51, 6% of the strains presented VIM genes, GIM in combination OXA40 and OXA51, all the strains under the study of A. baumannii , had multi-resistance, but 100% were sensitive to colistin. It was concluded that multiresistance in A. baumannii to carbapenems is due to blaOXA51, an intrinsic gene of this microorganism, and combinations of genes VIM, GIM, NDM, and OXA40, increasing the hydrolytic capacity to these antibiotics, these genes are shared by plasmids facilitating the vertical and horizontal transfer.
Introduction.
Objective:
Genetic characterization of Acinetobacter baumannii, resistant to carbapenems, isolated from clinical samples of patients hospitalized in wards of the German Nicaraguan Hospital, January 2017 - February 2018.
Acinetobacter baumannii, (A. baumannii), has taken clinical importance due to its ability to develop multi-resistance to different families of antibiotics, also because of the various mechanisms it has acquired, such as enzyme-mediated hydrolysis, a decrease of its porins, expulsion of antibiotics; this opportunistic pathogen has been involved in some endemic outbreaks in Bolivia, Colombia, Chile, Spain, having great importance genotypic characterization that leads to multiple resistance (Colón et al., 2009). According to Fresnadillo, has different types of reservoirs that favor the development of infectious processes in patients such as poor cleaning of hospital areas and medical instruments of health personnel, as one of the main routes of infection, In addition to the lack of hand washing, the constant use of the phone in critical areas, the deterioration of the health of patients, as well as factors of comorbidity, age, and immune status. This emerging pathogen can survive in adverse conditions in hospital areas, develop various infectious processes, and lead to the development of bacteremia with a very poor prognosis (Fresnadillo et al., 2015).
A. baumannii, in 2017, was placed on the list of critical priority pathogens by the World Health Organization (WHO), for being a microorganism resistant to Carbapenems, which are used to treat reserved infectious processes presenting refractory to antimicrobial measurement, limiting pharmacological alternatives, also has a high capacity to spread, It is eminently a danger to the lives of patients with prolonged stays in the different health units, important aspects that must be considered in these infectious processes. Since the appearance of antimicrobials, strategies have been implemented to treat infectious processes, perhaps inappropriately or indiscriminately, but these microorganisms develop multiple ways to defend themselves against antimicrobial attacks, making it difficult every day to eradicate infectious processes (Opozo et al.,2009). The difficulty of phenotypically determining the resistance A. baumannii, type OXA, is due to the lack of enzyme inhibitors, which leads us to the indispensable use of molecular biology techniques such as PCR, to know genetically the genes are carrying the bacteria, is of great importance from the point of view of resistance with plasmid transmission to other Gram-negative bacteria, that’s why we don’t focus on the detection of class B, class D carbapenemase genes. (Múnera et al. , 2014) .
Methods
A cross-sectional descriptive study was conducted to genetically characterize A. baumannii, producer of class D carbapenemases, in which 16 strains resistant to carbapenems isolated from patients hospitalized in the German- Nicaraguan public hospital were studied. The identification of the genus, species, and the test of susceptibility to antimicrobials was carried out by the VITEK2 compact system, from the culture in MacConkey three colony forming units (CFU) were taken, for the preparation of the inoculum, then a homogeneous suspension was made in a test tube containing 3ml of 0.45% saline, for the remaining cards, 145μl was passed in tubes with 3ml of saline, McFarland 0.5 was conformed to the 0.5 standards by means of DenSiCheK Plus, and proceeded to mount (GN, AST -XN06 and AST- GN69), GN: 64 biochemical tests, AST XN06: AN, ATM, CF, CTX, CTT, FOX, CPD, CZX, CXM, DOR, MEM, MXF, NA, NOR, PIP, TE, TIC, TCC, TGC, AST GN69: AMC, AM, SAM, CZ, FEP, CAZ, CRO, CIP, ETP, GM, IPM, LEV, TZP, TM, SXT. Suspicious strains producing carbapenemases were considered with a Minimum Inhibitory Concentration (MIC) of 2-4 μg/mL for Imipenem, Meropenem, and 2 μg/mL for Ertapenem (CLSI. , 2020). The synergy test was performed with ethylenediaminetetraacetic acid (10μg or 0.1 uM), from the 0.5 McFarland scale of the strains to be evaluated, the inhibition halo was also evaluated by Kirby Bauer ≤ 21 mm was incubated 18-24hrs. For genotypic characterization, a PCR multiplex was performed for blaOXA23, blaOXA40, blaOXA51, and blaOXA58 (Colón et al., 2009). To know, if they carried the NDM gene, he performed a PCR: for blaNDM, (Pasteran F., 2012)To determine the class B genes, a PCR was performed, multiple for bla IMP, blaVIM, blaGIM, blaSIM, blaSPM (Escalante et al., 2013).
DNA extraction
it was by heat lysis from the culture on MacConkey agar of 18-24 hours at 37ºC, a CFU pool was taken, inoculated in a 1.5 mL vial containing 100μl of nuclease-free water, was placed in a boiling water bath for 10 minutes, then centrifuged at 12000 rpm for 5 minutes and 80μl was extracted from the supernatant, the concentration of DNA extracted in Nanodrop Lite 2763 was determined ( Vilchez et al., 2009).
Genotypic detection of blaOXA
A multiplex PCR was performed in Acinetobacter baumannii isolates, in which the following primers were used. See Table 1.
|
Names of the first |
Sequence of primers |
Peso molecular (Pb) |
Reference |
|
OXA23F |
5´- GAT CGG ATT GGA GAA CCA GA-3 |
501 Pb |
Columbus et ál., 2009. |
|
OXA23R |
5´- ATT TCT GAC CGC ATT TCC AT-3´ |
||
|
OXA40F |
5´- GGT TAG TTG GCC CCC TTA AA-3 |
246 Pb |
|
|
OXA40R |
5´- AGT TGA GCG AAA AGG GGA TT-3 |
||
|
OXA51F |
5´- TAA TGC TTT GAT CGG CCT TG-3´ |
353 Pb |
|
|
OXA51R |
5´- TGG ATT GCA CTT CAT CTT GG-3´ |
||
|
OXA58F |
5´- AAG TAT TGG GGC TTG TGC TG-3´ |
599 Pb |
|
|
OXA58R |
5´- CCC CTC TGC GCT CTA CAT AC- 3´ |
||
|
IMPF |
5’-GGAATAGAGTGGCTTAAYTCTC-3’ |
188 Pb. |
Gonzales and Ál., 2014. |
|
IMPR |
5’-CCAAACYACTASGTTATCT-3’ |
||
|
VIMF |
5’-GATGGTGTTTGGTCGCATA-3’ |
390 Pb. |
|
|
VIMR |
5’-CGAATGCGCAGCACCAG-3’ |
||
|
GIMF |
5’-TCGACACACCTTGGTCTGAA-3’ |
477 Pb. |
|
|
GIMR |
5’-AACTTCCAACTTTGCCATGC-3’ |
||
|
SIMF |
5’-TACAAGGGATTCGGCATCG-3’ |
570 Pb. |
|
|
SIMR |
5’-TAATGGCCTGTTCCCATGTG-3’ |
||
|
SPMF |
5’-AAAATCTGGGTACGCAAACG-3’ |
271 Pb. |
|
|
SPMR |
5’-ACATTATCCGCTGAAACAGG-3’ |
||
|
NDMF |
5´ AGC ACA CTT CCT ATC TCG AC 3´ |
512 Pb |
Pasteran et onl., 2012. |
|
NDMR |
5´ GGC GTA GTG CTC AGT GTC 3´ |
Table 1. The sequence of carbapenemase primers class B and class D.
It was performed by conventional PCR for the determination of class B and class D carbapenemases, in the mixture was used 2 μL of DNA, Buffer 10X (5 μL), dNTP ́s mix 40 mM (2.5 μL), Taq Polymerase 5U / ul (0.5 μL), Primer Forward 10uM (0.5 μL), Primer Reverse 10uM (0.5 μL), nuclease-free water (18 μL), for a final volume 25 μL, (Pasteran et al., 2012).
Amplification; the genetic identification of type D carbapenemases, was determined by PCR, and the OXA-23, OXA-40, OXA-51, OXA-58 genes were determined, amplification was performed by the following conditions: denaturation 95 orcs for 4 minutes, followed by 30 cycles denaturation 94 ° C for 25 seconds, amplification 52 ° C for 40 seconds, 72 ° C, for 50 seconds, final extension 72°C for 6 minutes, final temperature 4°C (Colón et al., 2009).
Detection of class B1 carbapenemases; also known as metallum β-lactamases (MBL), by multiplex PCR, the following amplification program was used: Denaturation at 94 °C for 5 minutes; 36 cycles denaturation at 94°C for 30 seconds; hybridization at 52°C for 40 seconds; amplification 72°C for 50 seconds and a final extension of 72 °C for 5 minutes (Escalante et al., 2013). See table 1.
New Delhi termination (NDM), Amplification is used the following program, denaturation 94°C, for 5 minutes, followed by 35 cycles, 94°C for 30sec, hybridization 50°C for 30sec, amplification 72°C for 60sec, final extension 72°C for 10 min, final 4°C. The amplification was performed in a MasterCycler, Eppendorf Brand, Model number 5341, (Pasteran et al., 2012). See table 1.
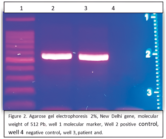
Electrophoresis; The PCR product was evaluated in a 2% agarose gel with 0.5 μg/mL of ethidium bromide, electrophoresis was run at 120 volts for 60 minutes the DNA bands of the different genotypes were visualized in a camera with ultraviolet light and photographed. The weights of the bands were evaluated with the positive controls used (Colón et al., 2009). See annex Figures 1 and 2 of electrophoresis.
Results
The universe was comprised of 16 strains of Acinetobacter baumannii, resistant to carbapenems Imipenem and Meropenem, during the study period, genotypic characterization demonstrated gene diversity, 100% of the strains carried OXA51, 87.5% carried OXA40 genes but combined with OXA51, 13% presented a combination of NDM genes with OXA51, 6% of the strains presented VIM, IMT genes in combination OXA40 and OXA51, all strains under the study of A. baumannii, presented multi resistance, but 100% were sensitive to colistin see graph 2.
Discussion
A. baumannii, has resistance to different drugs, due to the diversity of resistance mechanisms such as AMP-C, these hydrolyze Aminopenicillins, also hydrolyze β-lactams, and very efficiently to Cefepime, also have Serino class D carbapenemases, th ese hydrolyze very effectively to carbapenems (Múnera et al., 2014). In table 4, you can see the diversity of genes that are carrying the strains of A. baumannii, this finding is important because we are finding MBL genes, which are almost exclusive to enterobacteria, being sharing these genes, makes it a highly dangerous microorganism due to its multiresistance and can cause outbreak in different hospital environments, It should be noted that they are also carrying genes New Delhi, in Nicaragua this would be the first characterization study of A. baumannii, The OXA51 gene, is chromosomal, this has the characteristic of being little shared, the strains carry 100%, the OXA40, they only carried it in 87.5%, this is transmitted by plasmids and can be shared by microorganisms very close to them or share with enterobacteria, two strains presented a combination of OXA51 and NDM, for 13%, one of the strains presented a combination of MBL genes such as VIM, GIM, with OXA40 and OXA51, it is necessary to continue monitoring this pathogen, by the behavior of the genetic characteristics found (Pillonetto et al. , 2013) . The genes that code for class D carbapenemases have already been studied in countries such as Colombia, and Bolivia, but in Nicaragua, it is the first study in this type of genes and with a broader approach in the characterization of MBL and NDM genes (Escalante et al., 2013) (Oliver et al., 2010).
|
Number |
Room from which the microorganism was isolated |
MBL (blaIMP, blaVIM, blaGIM, blaSIM, blaSPM) & NDM |
OXA (PCR multiplex 23, 40,51,58 ) |
|
1 |
Surgery |
VIM, GIM |
OXA 40, OXA 51 |
|
2 |
ICU-adults |
NDT |
OXA 40, OXA 51 |
|
3 |
UCI-newborn |
NNT |
OXA 40, OXA 51 |
|
4 |
UCI-newborn |
NDM |
OXA 51 |
|
5 |
ICU-adults |
NDT |
OXA 40, OXA 51 |
|
6 |
ICU-adults |
NDT |
OXA 40, OXA 51 |
|
7 |
Gynecology |
NDT |
OXA 40, OXA 51 |
|
8 |
ICU-adults |
NDT |
OXA 40, OXA 51 |
|
9 |
Surgery |
NDT |
OXA 40, OXA 51 |
|
10 |
ICU-adults |
NDT |
OXA 40, OXA 51 |
|
11 |
Surgery |
NDT |
OXA 40, OXA 51 |
|
12 |
ICU-adults |
NDT |
OXA 40, OXA 51 |
|
13 |
ICU-adults |
NDT |
OXA 40, OXA 51 |
|
14 |
UCI-newborn |
NDT |
OXA 40, OXA 51 |
|
15 |
ICU-adults |
NDM |
OXA 51 |
|
16 |
ICU-adults |
NDT |
OXA 40, OXA 51 |
Table 2 : NDT. Not detected.
ICU. Intensive Care Unit.
According to the resistance profile in A. baumannii, they present resistance, almost to all the antibiotics analyzed, having sensitivity to colistin in 100% and tigecycline in 93%, being the pharmacological alternatives, the versatile behavior of acquiring genes by horizontal transfer, opens the possibility of presenting short-term resistance to Colistinand this would be very alarming, Because this is the alternative pharmacology although not very safe as reported by some researchers for the adverse reactions that this may generate, but it is the alternative treatment, it is important to note that multi-resistance is due to combinations of genes, VIM, GIM, NDM, OXA40, OXA51, it should be noted that the hydrolysis of carbapenems, is due almost exclusively to the OXA51 gene, but is even more enhanced by the other genes (Colón et al., 2009).

Graph 1. Resistance Profile of Acinectobacter baumannii
Conflict of interest and Gratitude.
The authors declare that they have no conflict or any conflict and we thank the Nicaraguan Ministry of Health and the staff of the German- Nicaraguan hospital for their collaboration in the study.
Financing.
This study was carried out with the Fund for Research Projects (FPI) of the UNAN-Managua, directed by the Vice-Rectorate for Research, Postgraduate, and University Extension through the Research Directorate.
Conclusions.
Multi resistance in A. baumannii to carbapenems is due to blaOXA51, intrinsic gene, and combinations of genes VIM, GIM, NDM, and OXA40, increasing the hydrolytic capacity to these antibiotics, these genetic combinations will lead to a high prevalence in hospital-acquired infections if the associated factors are not controlled.
Annexes


Work cited
(CLSI), C. a. (2020). Performance Standards for Antimicrobial Susceptibility Testing. 30th ed. supplement M100. Wayne, PA: Clinical and Laboratory Standards Institute.
Andrés Opazo C., S. M. (2009). Multidrug ejection pumps in Acinetobacter baumannii and antimicrobial resistance. Rev Chil Infect 2009, 26 (6): 499-503.
Arbizù Medina, O. (2019). Carbapenemase in Pseudomonas aeruginosa in hospitals in Managua, Nicaragua. University Tower. doi:https://doi.org/10.5377/torreon.v8i21.8851
Elena Fernández Colón; (2009). Determination of carbapenemases and their relationship with genetic structures in clinical isolates of Acinetobacter baumannii from hospitals in the city of Cochabamba. BIOFARBO, 30-38. Obtained from file:///F:/ARTICULO%20OSCAR%20FPI%20PDF%20CARBAPENEMASAS/PRIMERS%20DE%20KPC,%20ARTICULO/ALLA%20PARA%20PRIMERS /v17n1a05%20tipos%20de%20oxa%20PRIMERS%20integrones.pdf
Gonzales-Escalante1, E. (2013). METALLO-β-LACTAMASES IN CLINICAL ISOLATES OF Pseudomonas aeruginosa IN LIMA, PERU. Rev Peru Med Exp Salud Publica, 30(2):241-45.
Marcelo Pillonetto, L. A.-A. (2013). First Report of NDM-1-Producing Acinetobacter baumannii Sequence Type 25 in Brazil. Antimicrobial Agents and Chemotherapy. doi:doi:10.1128/AAC.03444-14
María José Fresnadillo-Martínez, E. G.-M.-S.-d.-E.-S.-S.. (2015). Prevention of an outbreak of Acinetobacter baumannii in an intensive care unit: effectiveness of various mathematical methods. Rev Esp Quimioter.
Oliver, C. J. (2010). carbapenemases in species of the genus Pseudomonas. Enferm Infecc Microbiol Clin.
P., A. D. (2005). Pan-resistant Acinetobacter baumannii infections. Updated epidemiological and antimicrobial management considerations. Rev Chil Infect, 22 (4): 298-320.
Pasteran F., A. E. (2012). The emergence of NDM-1-producing Klebsiella pneumonia in Guatemala. . Journal of Antimicrobial, 67:1795-1797.
Samuel Vilchez, D. R. (2009). Prevalence of diarrheagenic escherichia coliin children from León, Nicaragua. Journal of Medical Microbiology, 58,630–637. doi:10.1099/jmm.0.007369-0
Vanegas-Múnera JM, R.-V. G.-Q. (2014). Acinetobacter baumannii: clinical significance, mechanisms of resistance and diagnosis. Rev CES Med, 28(2): 233-246.