Imagen en Ciencias Forenses
Quiste
coloide del tercer ventrículo: hallazgo incidental indirectamente relacionado a
la muerte.
Colloid
cyst of the third ventricle: incidental finding indirectly related to death.
César Augusto Durán López1*: https://orcid.org/0000-0002-9464-7889
Aurea Escobar España¹: https://orcid.org/0000-0002-0251-9039
Erick Gómez Apo1: https://orcid.org/0000-0002-1145-8952
Thelma Rizo Pica1: https://orcid.org/0000-0002-7073-9009
¹Hospital General de México Dr. Eduardo Liceaga, Servicio de Neuropatología y Patología postmortem. Ciudad de México, México.
*Correspondencia a: cesarduran2278@hotmail.com
Citar como: Durán López CA, Escobar España A, Gómez Apo E, Rizo-Pica T. Quiste coloide del tercer ventrículo: hallazgo incidental indirectamente relacionado a la muerte. Rev. cienc. forenses Honduras. 2022; 8 (1): 39-40. doi:10.5377/rcfh.v8i1.14966
Palabras
clave: Quiste
coloide, Neuropatología, Autopsia.
Keywords: Colloid cyst, Neuropathology,
Autopsy.

Introducción: Los quistes coloides del tercer ventrículo son raros, la evaluación forense debe determinar su relación con el mecanismo de muerte1. Descripción del caso: Mujer de 30 años, diabética, que ingresó por deterioro neurológico y falleció cinco días después, se le realizó autopsia. Hallazgos relevantes: Los cortes coronales del cerebro muestran edema severo, obliteración ventricular y datos de muerte cerebral. En el tercer ventrículo había lesión ovoide de 2.5 x 2.5 x 2cm, con superficie lisa, café claro (Fig. 1-A, marcada con flecha).

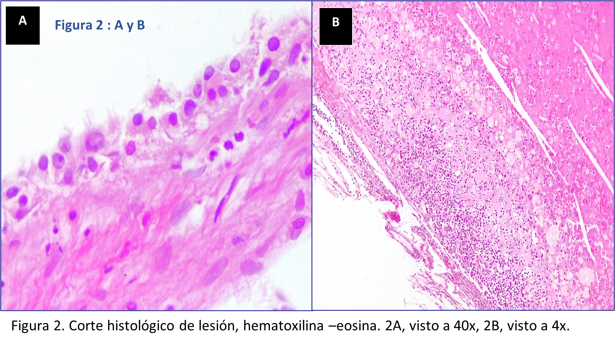
Al corte, la lesión era quística con material mucoso café obscuro (Fig. 1-B). Microscópicamente, estaba revestida de epitelio cúbico (Fig. 2-A). La pared tenía rotura evidenciada por inflamación crónica y cristales de colesterol. El contenido era material eosinófilo, granular, mezclado con eritrocitos (Fig. 2-B).
Conclusión: El quiste coloide es la causa intermedia de muerte al producir obstrucción en la circulación de líquido cefalorraquídeo por edema cerebral. La causa directa de muerte fue infarto pontino agudo por trombosis basilar asociada a sepsis. El quiste coloide es la causa directa de muerte cuando se desplaza y produce dilatación ventricular con herniación cerebral, sufre hemorragia, o aumento de tamaño, con los mismos efectos 1,2. No son habituales los informes de su asociación indirecta con el mecanismo de muerte.
Conflicto de interés, relaciones financieras o comerciales: Ninguno.
Referencias Bibliográficas
1.-Byard
RW. Variable Presentations of Lethal Colloid Cysts. J Forensic Sci. 2016; 61(6):1538-1540.
2.-Beaumont TL, Limbrick DD Jr, Rich KM, Wippold FJ 2nd, Dacey RG Jr. Natural history of colloid cysts of the third ventricle. J Neurosurg. 2016;125(6):1420-1430.